致命过敏vs危重冠心病!东方市人民医院张玉卓团队成功实施海南省首例IVUS指导下零造影剂冠脉介入治疗
冠脉介入治疗是冠心病核心诊疗手段,造影剂作为手术“导航工具”,可清晰显示血管病变,为操作提供关键指引。但对造影剂过敏患者而言,常规介入治疗面临“不手术病痛难消、手术易致命过敏”的两难困境。近日,东方市人民医院心内科学科带头人张玉卓主任团队,勇闯技术禁区,在血管内超声(IVUS)精准指导下,成功为造影剂过敏的冠心病患者邵先生实施海南省首例零造影剂冠脉介入治疗,全程未使用一滴造影剂,精准打通堵塞血管,标志着我省冠心病介入治疗水平迈上新台阶,为特殊冠心病患者开辟了安全有效的治疗新路径。
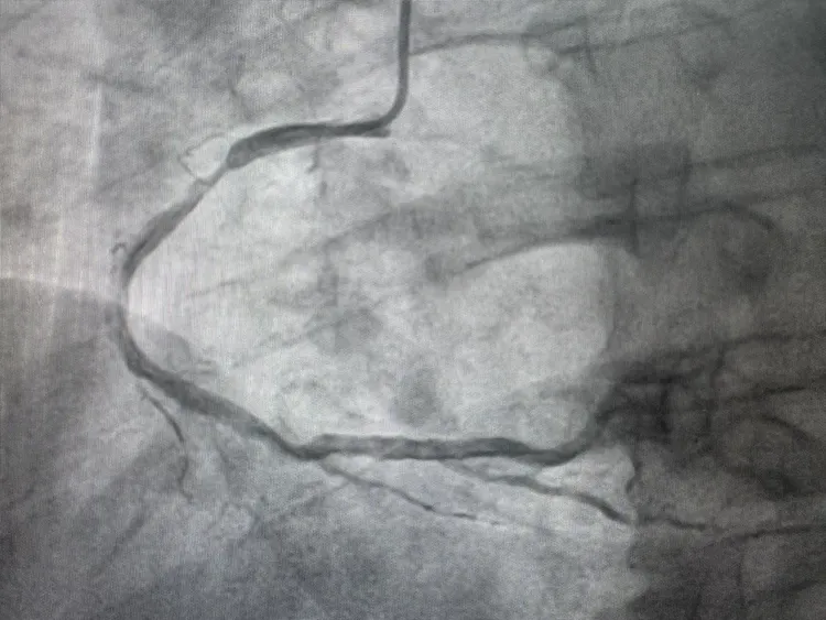
68岁的邵先生患有多年冠心病,反复胸闷、心绞痛,冬季及劳累后症状频发,严重影响生活。春节前夕,邵先生因心绞痛急性发作被紧急送至我院心内科,冠脉造影显示其多支血管病变,前降支为慢性闭塞病变,右冠脉近段狭窄达90%,病情十分危重。
↑第一次造影示右冠脉近段严重狭窄
张玉卓主任团队第一时间为患者实施常规介入手术,成功处理前降支病变,心绞痛症状明显缓解。但术后邵先生突发严重造影剂过敏,出现皮肤瘙痒、呼吸困难、血压下降等危急症状。团队立即启动应急救治预案,经全力抢救,患者转危为安并顺利出院。出院时医生特别叮嘱,其右冠近段90%狭窄属于高危病变,需尽快接受二次治疗。
再次治疗面临巨大难题:邵先生已明确严重造影剂过敏,再次使用造影剂极可能危及生命;若放弃治疗,随时可能发生急性心梗。面对这一诊疗僵局,张玉卓主任当即组织骨干医师开展疑难病例会诊,结合患者影像资料与国内外经验,最终确定采用IVUS全程引导的零造影剂介入手术方案。
血管内超声(IVUS)被誉为血管内“超高倍显微镜”,可将探头送入冠脉内,实时生成清晰血管图像,精准评估病变、指导支架植入,无需造影剂即可完成手术,从根本上规避过敏风险,同时保护肾功能,特别适合造影剂过敏、肾功能不全等特殊患者。
经过周密准备,张玉卓主任团队为邵先生量身定制手术方案。手术中,团队全程依托IVUS精准引导,在无造影剂的“无全景地图”状态下精细操作,仅用1小时便顺利完成支架植入,血管血流完全恢复通畅。术后邵先生未出现任何过敏反应,胸闷、心绞痛症状彻底消失,身体恢复良好,顺利康复出院。
↑张玉卓主任团队为患者手术
↑第二次手术血管内超声影像(术前)
↑第二次手术血管内超声影像(术后)
此次海南省首例IVUS指导下零造影剂冠脉介入治疗的成功实施,破解了造影剂过敏患者的介入治疗难题,填补了我省该技术领域的空白,标志着我院心内科介入治疗技术跻身省内领先水平。
从勇闯技术禁区到破解诊疗难题,从守护患者生命健康到引领区域医疗发展,东方市人民医院心内科始终以患者为中心,以技术为引擎,以创新为动力。此次首例手术的成功,是医院学科建设与技术创新的又一重要里程碑,更是医护团队践行“敬佑生命、救死扶伤”职业精神的生动实践。未来,东方市人民医院心内科将继续深耕精准医疗领域,不断攻克技术难关,拓展诊疗边界,用更先进的技术、更优质的服务,为广大心血管疾病患者点亮生命之光,守护每一份健康与平安,为区域医疗卫生事业的高质量发展持续贡献力量!
供稿:心内科
编辑:党务办 李 芳
初审:医务科
终审:党务办 符玉荣




